【三重県松阪市】一般歯科・小児歯科・矯正歯科・歯周内科治療・予防歯科・審美歯科・ホワイトニング |
|
 |
|
 |
|
|
|
|
|
QRコード |
 |
|
|
周辺地図 |
 |
|
|
|
|
たかまち歯科クリニック 小児矯正治療 |
|
 |
|
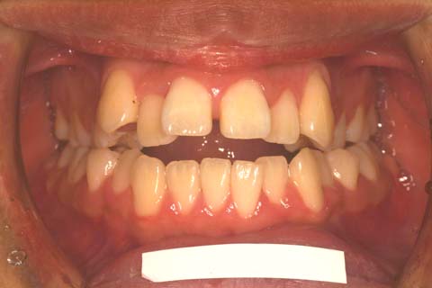
■上顎前突【じょうがくぜんとつ】(出っ歯) |
上顎の前歯が下顎の前歯よりも前へ突出した、いわゆる「出っ歯」の状態です。食べ物が咬みきれない、口が閉じにくいなどの機能的な障害がおこることがあります。 |
|
|
|
|
■下顎前突【かがくぜんとつ】(受け口) |
正常な状態とは逆に、下顎の方が上顎よりも前に突出した、いわゆる「受け口」の状態です。 |
|
|
|
|
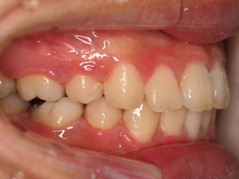
■叢生【そうせい】(八重歯・乱ぐい歯) |
叢生生(そうせい)とは、歯と歯が重なりあっている「八重歯」や「乱杭歯」のことです。歯がまっすぐに並ぶための隙間が足りないために歯並びが凸凹になった状態を言います。 |
|
|
|
|
■開咬【かいこう】(八重歯・乱ぐい歯) |
奥歯はきちんと噛み合っているのに前歯だけが噛み合わず、常に前歯があいた状態のこと。口をあけると前歯の間から舌が見えるといった特徴があります。前歯で物を噛むことができないため、咀嚼機能に障害が表れます。 |
|
|
|
 |
|
|
|
|
|
|
|
|
|
 |
|
|
|
|
Copyright 2012 たかまち歯科クリニック All Rights Reserved. |